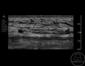
Case 9 - Cellulitis - Sonostache
19046
wp-singular,post-template-default,single,single-post,postid-19046,single-format-standard,wp-theme-bridge,bridge-core-3.3.4.7,qode-page-transition-enabled,ajax_fade,page_not_loaded,,qode-smooth-scroll-enabled,qode-theme-ver-30.8.8.7,qode-theme-bridge,disabled_footer_top,qode_header_in_grid,wpb-js-composer js-comp-ver-8.7.2,vc_responsive,elementor-default,elementor-kit-18326
 

Case 9 – Cellulitis